发布时间:2019-06-03作者:广西壮族自治区胸科医院点击: 次
我院成功完成一例老年患者的冠状动脉支架植入术

5月31日,我院心血管内科顺利为1名75岁高龄的男性患者进行了CAG+PCI手术(冠状动脉支架植入术),这标志着我院心血管内科心脏介入手术水平迈上了一个新的台阶,也为我院胸痛中心的建设提供了一个强有力的技术支持。


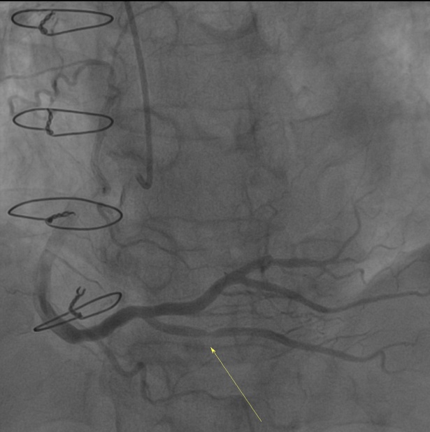
图2、3. 术前和术前测量


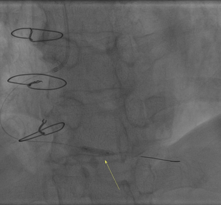
图4、5 球囊扩张和术后支架
据悉,该患者10年前曾经行心包剥脱术,出现阵发性胸痛症状后到我院就诊,冠脉造影提示右冠状动脉狭窄80%。在详细了解情况后,心血管内科专家与影像专家进行了会诊,为患者确定了周密的治疗计划和手术方案。

经过了近1个小时的手术后,医生们成功为患者植入一枚支架,术程顺利。术后,患者胸痛症状消失。(供稿:韦冬英 审核:蒋源蔓)
返回顶部