发布时间:2024-01-11作者:广西壮族自治区胸科医院点击: 次
与石俱净,不用开刀!
近日,广西胸科医院普外、泌尿外科团队完成首例经尿道输尿管镜(软镜)钬激光碎石术,此例手术的成功开展,标志着医院治疗泌尿系结石疾病迈入了新的微创诊疗时代。


邱大叔今年60岁,是一名饱受泌尿系统疾病折磨的患者。一个月前,他开始在无明显诱因下出现进行性加重的尿频、尿急、尿痛,经外院治疗无果后转入我院普外、泌尿外科治疗。入院后经检查,确诊:左输尿管上段结石、左肾结石伴有积水和感染、双肾盂结石并轻度积水、前列腺增生。

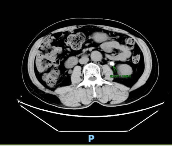
▲输尿管上段结石
受上述疾病影响及长时间留置尿管,邱大叔常有膀胱不适及尿道口疼痛,他被折磨得身心俱疲,想尽快解除这些不适症状。
在同患者及家属充分告知和同意下,医疗团队根据病情为邱大叔制定了手术方案:经尿道输尿管镜(软镜)钬激光碎石术。经完善术前检查后,普外、泌尿外科主任廖林楚带领团队,经输尿管镜置入导丝,在导丝引导下置入软镜鞘,用软镜从鞘进入达结石处,钬激光碎石,随后使用生理盐水冲洗出碎石并吸出,经导管置入左侧输尿管双J管后退镜顺利,手术成功,患者安全返回病房,术后恢复良好。

▲术后留管检查,结石已清除

输尿管软镜是一种纤细、可弯曲的内窥镜,可通过尿道、膀胱、输尿管等人体自然腔道进入肾脏,配合钬激光等先进技术将人体内泌尿系结石击碎。输尿管软镜技术对于肾盂肾盏内结石、肾盏憩室内结石、多发性复杂结石,合并出血性体质、过度肥胖、肾脏解剖畸形、位置畸形、孕妇等特殊患者具有不可替代的优越性。该技术通过人体自然腔道进行,是真正意义上的微创技术。相比传统开放手术、给皮肾镜碎石术以及硬质输尿管镜及肾镜,输尿管软镜操作更加灵活,观察范围更大;且无须在身体上做切口,术后无体表瘢痕;具有创伤小、无出血、痛苦轻、恢复快、住院时间短、适应症广等优势,广泛应用于保守治疗无效的输尿管结石、肾结石、输尿管及肾盂新生物的检查及治疗等。
返回顶部