发布时间:2024-01-02作者:广西壮族自治区胸科医院点击: 次
前段时间,一位严重呼吸衰竭的“大白肺”患者被送到广西胸科医院重症医学科(ICU)进行抢救治疗。
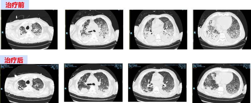
经检查,这名患者新冠病毒核酸阳性,同时合并有肺结核、肺部细菌及真菌感染,“白肺”范围达到80%,氧合指数持续小于100mmHg(正常人>400mmHg)。单纯靠常规呼吸机支持呼吸等救治手段不足以维持患者对氧供的需求,患者甚至出现了严重的心功能不全、严重低血压,经联合使用多种强心药、升压药物仍不能有效改善心功能及维持血压,情况非常危急。
重症医学科副主任蓝争迅速组织科内讨论,并申请院内多学科及ECMO团队联合会诊,经过讨论,一致认为:使用体外膜肺氧合(ECMO)生命支持才能为患者争取最后一线希望。征得患者家属知情同意后,科室立即启动ECMO救治预案,迅速成功为患者建立体外循环转流,患者缺氧及低血压状况明显得到改善,为后续救治赢得了时间。

▲置入ECMO管

在ECMO持续生命支持下,患者呼吸及循环暂时稳定,但因重症感染、炎症风暴导致肾脏、肝脏相继出现衰竭,这让本就严重的病情雪上加霜。为此,重症医学科医护团队为患者实施ECMO联合CRRT(连续性肾脏替代治疗)、DPMAS(双重血浆分子吸附系统)治疗,以减轻炎症损伤,替代肾脏、肝脏功能,挽救患者生命。此时,患者的几个重要内脏器官功能都必须依靠机器来暂时替代,“我们绝不放弃任何一个危重病人” ,为此,重症医学科医护团队根据患者病情多次进行了科内讨论、院内多学科医护会诊等,为患者制定合理的治疗方案、个性化的护理方案,患者病情终于逐渐好转。

▲ECMO联合CRRT、DPMAS治疗

经过11天的不懈奋战,患者肺部氧合改善、心功能改善、血压稳定,最终顺利撤离ECMO生命支持。此次ECMO成功撤机标志着我院危重传染病救治水平迈上一个更高的台阶,随着ECMO技术的成熟运用,能为更多重症患者带来“生”的希望,创造更多生命奇迹。
医学小科普:体外膜肺氧合

▲体外膜肺氧合示意图
体外膜肺氧合(extracorporeal membrane oxygenation,ECMO),是一个体外的代替心肺进行泵血和氧合的续命机器,核心部分为:膜肺(人工肺)和血泵(人工心脏),主要用于对重症心肺功能衰竭患者提供持续的呼吸和循环支持。作为抢救危重患者的“终极武器”,是常规抢救治疗方法无效后的最后一关,连续性肾脏替代治疗(CRRT)能实现平稳、缓慢的血液净化,暂时取代肾脏功能,以保持机体电解质及液体平衡。双重血浆分子吸附系统(double plasma molecular adsorption system,DPMAS)。作为非生物型人工肝的一种,采用中性大孔树脂(HA330-II)和离子交换树脂(BS330)两种吸附剂联合应用,能特异性吸附胆红素和中大分子毒素,迅速清除黄疸和炎症介质,同时不耗费血浆,防止或者延缓MODS(多器官功能障碍综合征)、SIRS(全身炎症反应)的形成,给肝细胞再生提供相对良好的外部环境,促进肝脏的恢复。提高救治成功率,改善患者预后。ECMO联合CRRT、DPMAS治疗已经成为有严重器官衰竭和代谢紊乱的重症患者的有效治疗手段。
返回顶部