发布时间:2023-12-06作者:广西壮族自治区胸科医院点击: 次
近年来,肺腺癌的发病率逐年攀升,成为全球健康领域的重要挑战。肺腺癌治疗一直是医学界的难题,尤其是当患者伴有多种基础疾病时,更需要高度精准的治疗方案。近期,我院胸外科一病区成功为一名肺腺癌合并多种基础疾病的患者实施了微波消融手术。

患者为老年女性,两年前体检发现肺结节,并未经过系统的治疗。今年2月份患者出现乏力、胸痛症状,因其合并有糖尿病、高血压、肾功能不全、冠心病等疾病,曾辗转于区内外多家医院就医,因冠状动脉广泛三支病变,无法行支架植入术,很多医院不愿意冒着巨大的风险为其进行手术,最终患者经过多方打听来到我院胸外科一病区诊室就诊。患者办理了住院后,完善相关检查,唐中明主任根据患者病灶位置、影像特征认为该患者患肺癌的可能性很大。
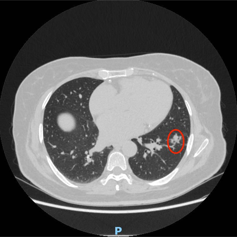
▲术前CT
患者手术指征较明确,因其合并有其他基础病,于是在围术期前期给予降压、控制血糖、抗凝等治疗。综合考虑患者病灶部位、手术耐受性、合并多种基础病等原因,在经过多学科联合会诊讨论后为患者制定了个性化的手术治疗方案,最后由唐中明主任与主管医师危云辉在CT引导下行经皮左下肺结节微波消融术+左下肺结节穿刺活检术,术后病理提示为肺腺癌。

▲术中影像图片

▲病理结果
手术过程非常顺利,术后第二天患者已经可以下床活动。患者及家属对手术的效果感到非常满意。在胸外科一病区医护人员的精心治疗和细致照护下,患者恢复良好。
微波消融手术通过将微波能量精确引导至肿瘤部位,使癌细胞组织受热坏死,从而达到治疗目的。与传统手术相比,微波消融手术具有创伤小,恢复快,疗效显著的优点,为肺癌患者带来了新的希望。
返回顶部