
2021年9月14-15日,全国知名专家、北京胸科医院逄宇教授应邀到我院进行学术交流和指导,刘爱梅副院长、科教科科长黄丽玲全程陪同,我院50余名临床医护人员参加了学术座谈。 座谈...
发布时间:2021-09-22
“国无廉则不安,家无廉则不宁”。家庭是社会的细胞,是反腐倡廉的重要阵地。为进一步加强对全院干部职工的关爱和监督,深入了解干部职工的思想和生活情况,促进家庭助廉,近日,广西胸...
发布时间:2021-09-22
9月18日,广西胸科医院党委书记韦永忠、副院长吴敬林带领医院帮扶责任人一行8人到龙胜县泗水乡泗水村开展我为群众办实事·助力乡村振兴”暨中秋慰问活动,驻村第一书记、村干部、帮...
发布时间:2021-09-22
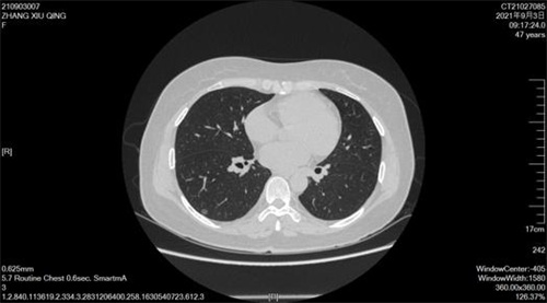
近日,我院胸心外科团队协同麻醉团队再次完成了非气管插管麻醉下电视胸腔镜右肺下叶楔形切除术,该例患者是我院开展的第一例艾滋病合并肺癌无管微创手术。 张某确诊艾滋病已有...
发布时间:2021-09-18
为了有效提高广西结核病实验室检测能力,加强实验室与临床诊疗的深度融合,进一步推进全区的结核病防治工作,广西胸科医院于9月15日至17日在柳州市成功举办了自治区级继续培训...
发布时间:2021-09-18
2021年9月10日至12日,广西胸科医院主办的自治区级继续教育项目“广西艾滋病临床护理新进展培训班” 在柳州市成功举办。广西胸科医院副院长刘爱梅参加会议并致辞,来自区内69家传...
发布时间:2021-09-15
9月10日下午,广西胸科医院党委召开了“以案为鉴、以案促改”警示教育大会暨2021年例行廉政谈话会。党委书记韦永忠出席会议并讲话,会议由党委副书记覃如谢主持。 韦永忠指出,全体...
发布时间:2021-09-14
返回顶部